PROTHÈSE FIXE SUR IMPLANTS
La prothèse fixe peut être fabriquée dans tous les matériaux : zircon, e.max, céramo-métal, composite.
 
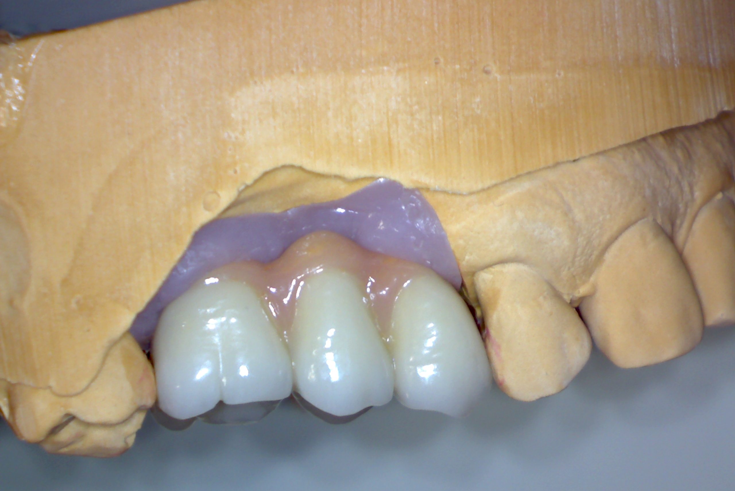
COURONNE HYBRIDE
Cette couronne cimentée et viséée présente de nombreux avantages d’ordre technique et esthétique.
BARRE SUR IMPLANTS
La barre sur implants dentaires est une solution permanente à la perte des dents, pour éviter l’utilisation de prothèses amovibles.


CONCEPTION DES PILIERS PERSONNALISÉS
Le pilier personnalisé s’adapte parfaitement à la gencive. Il est conçu en fonction de la taille, de la profondeur et de l’angle de l’implant.
CORRECTION D’ANGLE
Grâce à la modélisation numérique, nous offrons une correction d’angle pour visser la majorité de vos cas d’implants.
GUIDE CHIRURGICAL
Le guide chirurgical permet d’utiliser les technologies de pointe pour poser vos implants avec une grande précision.

